Pozor na zápal pľúc: Neuveríte, koľko ľudí ročne na Slovensku zabije
Máte vypnuté reklamy
Vďaka financiám z reklamy prinášame kvalitné a objektívne informácie. Povoľte si prosím zobrazovanie reklamy na našom webe. Ďakujeme, že podporujete kvalitnú žurnalistiku.
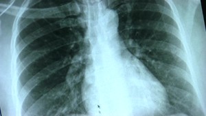
Zápal pľúc môže ohroziť život, najmä u starších ľudí
Zápal pľúc rozhodne nie je banálne ochorenia môže ohroziť život. Je infekčné a dostať ho môže každý z nás. Príznaky, najmä u starších ľudí bývajú dosť netypické a nie je vždy je prítomná horúčka. Bohužiaľ, až 80 percent ľudí nad 80 rokov zápalu pľúc podľahne. Prečo je dôležité dať sa zaočkovať proti chrípke a pneumokokom a ako nosenie rúšok pomáhalo nielen proti kovidu? Vypočujte si rozhovor s pneumológom Štefanom Laššanom z Kliniky ftizeológie a pneumológie UN v Bratislave,